症例紹介
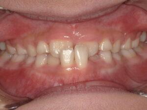
前歯2本の反対咬合 9歳

Before

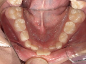
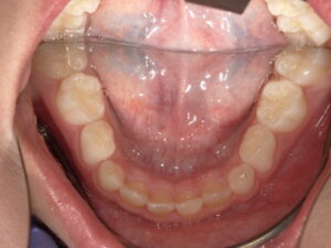
After
症例情報
| 主訴 | 下の前歯が上の前歯より前に出てきた。 |
|---|---|
| 診断名 | 反対咬合 |
| 年齢・性別 | 9歳男子 |
| 治療期間・回数 | 8ヶ月。11回。 |
| 治療方法 | リンガルアーチによる前歯の被害改善。 |
| 費用 | 55000円 |
| デメリット・注意点 | 保険適用外の自費診療です 矯正中はむし歯と歯周病のリスクがある。 口内炎、歯根吸収、正中のずれ等の可能性があります。 歯が浮いたような痛みを伴うことがあります。 場合によっては予定通りに歯が動かないこともあります。 矯正後は保定が必要になります。 矯正は治療できる範囲や症状が限られています。 |


子供が反対咬合と診断された場合、当院では早期の治療をおすすめしています。
反対咬合は幼児の間に自然に治ることもありますが、2歳児では50%、3歳児ではわずか6%しか自然に治りません。
反対咬合では下の前歯が上の前歯よりも前に出ていて、通常の咬合の逆になっています。
遺伝が原因であることが多いのですが、一度反対咬合になると、下顎は上顎よりも成長が早いという特徴があるので、下顎が大きく前に出た風貌になってしまう危険があります。
低年齢で治療をすれば、下あごの過成長を抑えることが出来ます。
反対咬合を放っておくと自然には正常な噛み合わせには戻らないことが多く、前歯が噛み合っていないので奥歯だけを使ってものを噛むようになり、奥歯の負担が大きくなってしまいます。
反対咬合(受け口)は6歳位までなら比較的簡単に改善するケースが多いです。治療せずにそのまま大きくなると、骨格の成長がほぼ止まって大人の骨格ができあがってしまいますし、全ての歯が永久歯に生え変わってしまっているため、治療が難しくなります。
そして、横顔を見ると完全に下顎が前に出ている、しゃくれと呼ばれる状態の風貌になり、ご本人も見た目を気にされると思います。そのため出来るだけ子供のうちに治療を受けていただき、顎骨が過成長する前に対応することをおすすめします。
今回は骨格的には問題なく、前歯2本の歯の生える向きがずれてしまっているだけなので リンガルアーチにて上の前歯を前に押し出してあげます。
そうすることで下の前歯2本は何もしなくても自然と内側に引っ込みます。


治療前後






装置が変形したり、壊れたりして治療期間が長引いてびいてしまいましたが だいたい3~4か月くらいで治ります。
成長してからではこんなに簡単には治りません。
早めの治療をお勧めします。


