症例紹介
小児歯科矯正
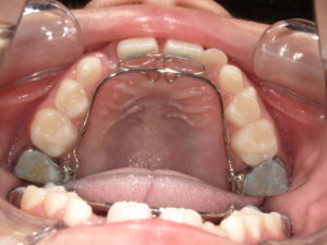
前歯2本が反対咬合 7歳

Before

After
症例情報
| 主訴 | 下の前歯が上の前歯より前に出てきた。 |
|---|---|
| 診断名 | 前歯の反対咬合 |
| 年齢・性別 | 7歳、男の子。 |
| 治療期間・回数 | 動的治療期間3カ月。5回。 |
| 治療方法 | リンガルアーチによる前歯の被害改善。 |
| 費用 | 55000円 |
| デメリット・注意点 | 保険適用外の自費診療です 部分矯正中はむし歯と歯周病のリスクがある。 口内炎、歯根吸収、正中のずれ等の可能性があります。 歯が浮いたような痛みを伴うことがあります。 場合によっては予定通りに歯が動かないこともあります。 部分矯正後は保定が必要になります。 部分矯正は治療できる範囲や症状が限られています。 |
3歳の時から当院に通っていただいてる男の子です。
下の前歯が生え変わり、上の前歯が生え変わったと思ったら反対咬合になってしまっていました。

これだけ嚙みこんでいると、自然に治る気がしません。
放置してしまうと・・
- 上あごの前方への成長を妨げてしまいます。
- 下の前歯は前に押し出されて歯根が露出してしまいます。
この子の場合は、骨格的に下あごが大きいとかではなく、たまたま上の前歯が内側に倒れて生えてしまっただけなので、上の前歯を裏から前に押してあげれば良いだけです。

リンガルアーチで1カ月半で動きました。
装置が可能な年齢になったら早めが良いです。
治療前


治療後


歯並び 特に小さなお子さんの場合は「どうしたらいいの?」と悩まれる親御さんも多いと思います。
いつごろから?どんな装置で?治療期間は?費用は?など分からないことが多いと思います。
初めに ある程度の流れのようなものが分かれば良いと思います。
当院は 小児から成人まで矯正治療を行っておりますので、気軽にご相談ください。
宇部市山門の歯医者なら ばん歯科クリニック
気軽にご相談ください。 tel 0836(37)2355


